[Funland] Tản mạn những tâm tư của em - mợ yen0985

yen0985

Xe tải
Biển số
OF-404592
Ngày cấp bằng
14/2/16
Số km
243
Động cơ
228,698 Mã lực
Tuổi
41
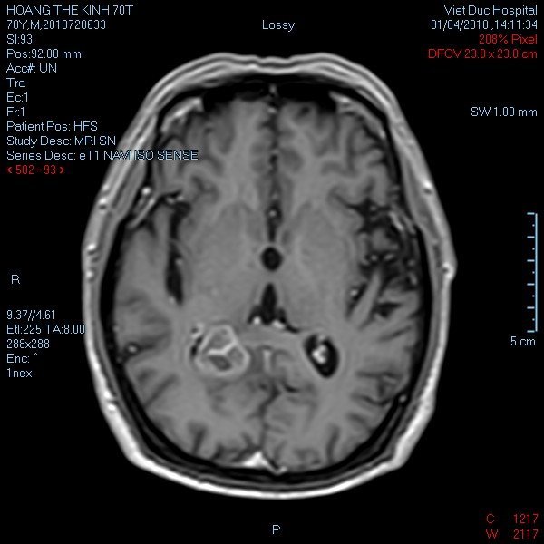
U não à? Em nghĩ Mợ nên kiểm tra và chụp chiếu tại một BV độc lập khác ạ, Đã gọi là chuẩn đoán mà mợ, Đôi khi nó cũng có sai số đó ạ :)
Vâng, thưa cụ! Mong sai số quả e thấy khó quá, nhưng e sẽ cố thử! Biết đâu....
 

Hoàng_Phú Thọ

Xe container
Biển số
OF-307823
Ngày cấp bằng
14/2/14
Số km
8,843
Động cơ
3,486,798 Mã lực
Nơi ở
huyện Cẩm Khê - Phú Thọ
Dạ , em đa tạ bác ạ! Cảm ơn bác rất nhiều! Chúc bác và gđ mạnh khoẻ!
Cảm ơn lời chúc của mợ. Bố em tuổi cao mà khối u nằm rất sâu đây, nhưng phương tiện và chuyên môn của bác sĩ giờ tốt rồi mợ ạ



 

yen0985

Xe tải
Biển số
OF-404592
Ngày cấp bằng
14/2/16
Số km
243
Động cơ
228,698 Mã lực
Tuổi
41
Mợ viết thế này, cả làng đã hiểu Mợ buồn cái gì rồi :)

Tôi buồn không hỉu vì sao tôi buồn :))
Câu từ diễn đạt quả có lúc lệch ý! Đem lên đây các thánh soi kĩ quá! Chín người mười ý! Thôi bác đọc hết chắc hiểu chuyện e đang mắc! Mong bác xuề xoà
 
Biển số
OF-88409
Ngày cấp bằng
14/3/11
Số km
689
Động cơ
412,030 Mã lực
Theo quy định của diễn đàn, mợ phải có ba ảnh cùng các thông số đi kèm nhé!
Cụ chưa Update lu quy định mới nhất của diễn đàn, sau ngày 19.5.2018 thì là 4 ảnh đi kèm với thông số của 4 vòng cụ nhé. Và theo tin từ admin thì số đo và ảnh cho vòng 4 sẽ quyết định và phủ quyết 3 vòng vòng còn lại :))
 

yen0985

Xe tải
Biển số
OF-404592
Ngày cấp bằng
14/2/16
Số km
243
Động cơ
228,698 Mã lực
Tuổi
41
Cảm ơn lời chúc của mợ. Bố em tuổi cao mà khối u nằm rất sâu đây, nhưng phương tiện và chuyên môn của bác sĩ giờ tốt rồi mợ ạ



Thật là kì diệu quá, bố bác đã qua khỏi! Quả e có tia hi vọng quá !
 

HUNGBDA79

[Tịch thu bằng lái]
Biển số
OF-94459
Ngày cấp bằng
8/5/11
Số km
30,821
Động cơ
635,291 Mã lực
Cụ chưa Update lu quy định mới nhất của diễn đàn, sau ngày 19.5.2018 thì là 4 ảnh đi kèm với thông số của 4 vòng cụ nhé. Và theo tin từ admin thì số đo và ảnh cho vòng 4 sẽ quyết định và phủ quyết 3 vòng vòng còn lại :))
Cụ đọc kĩ com đê! Cụ í Đang buồn mà cụ còn cười đc.
 

yen0985

Xe tải
Biển số
OF-404592
Ngày cấp bằng
14/2/16
Số km
243
Động cơ
228,698 Mã lực
Tuổi
41
Cụ chưa Update lu quy định mới nhất của diễn đàn, sau ngày 19.5.2018 thì là 4 ảnh đi kèm với thông số của 4 vòng cụ nhé. Và theo tin từ admin thì số đo và ảnh cho vòng 4 sẽ quyết định và phủ quyết 3 vòng vòng còn lại :))
Cụ vui tính quá! Kính cụ ly!
 

vietpq75hanes

Xe container
Biển số
OF-25818
Ngày cấp bằng
15/12/08
Số km
7,370
Động cơ
554,350 Mã lực
Xin chia sẻ cùng mợ, vì bố đẻ em cũng đang điều trị u thần kinh đệm.
Mợ nên tin tưởng vào bác sĩ và y học hiện đại, cố gắng chiến đấu với bệnh nhé
Gần giống với cụ ông nhà mình. Cũng là u thần kinh, nhưng nó là u vỏ giây thần kinh ngoại biên ụ ngồi bên phải, kiên cường lắm nhưng giờ cụ cũng yếu lắm rồi, như ngọn nến trước gió vậy. Đồng hương xin chia sẻ với cụ và mợ thớt.
 

yen0985

Xe tải
Biển số
OF-404592
Ngày cấp bằng
14/2/16
Số km
243
Động cơ
228,698 Mã lực
Tuổi
41
Gần giống với cụ ông nhà mình. Cũng là u thần kinh, nhưng nó là u vỏ giây thần kinh ngoại biên ụ ngồi bên phải, kiên cường lắm nhưng giờ cụ cũng yếu lắm rồi, như ngọn nến trước gió vậy. Đồng hương xin chia sẻ với cụ và mợ thớt.
Em xin cảm ơn đồng huong ạ
 

Kitcat

Xe container
Biển số
OF-569708
Ngày cấp bằng
18/5/18
Số km
9,655
Động cơ
236,540 Mã lực
Mợ đưa cụ đi khám lại nhé, và cố liên hệ 1 bác sỹ phẫu thuật tốt vào. Người nhà em thì ngày xưa là giáo viên, được học trò quý nên học trò lo cho cả. Phẫu thuật cho ng nhà em là bác sỹ phẫu thuật giỏi tay nghề nhất VN thời kỳ đó.
Các bác sỹ VN giỏi lắm mợ à. Cơ bản là mình cần ổn định tâm lý cho người thân, và chăm sóc trước và sau phẫu thuật thật tốt và khoa học.
 

yen0985

Xe tải
Biển số
OF-404592
Ngày cấp bằng
14/2/16
Số km
243
Động cơ
228,698 Mã lực
Tuổi
41
Mợ đưa cụ đi khám lại nhé, và cố liên hệ 1 bác sỹ phẫu thuật tốt vào. Người nhà em thì ngày xưa là giáo viên, được học trò quý nên học trò lo cho cả. Phẫu thuật cho ng nhà em là bác sỹ phẫu thuật giỏi tay nghề nhất VN thời kỳ đó.
Các bác sỹ VN giỏi lắm mợ à. Cơ bản là mình cần ổn định tâm lý cho người thân, và chăm sóc trước và sau phẫu thuật thật tốt và khoa học.
Vâng! Em cảm ơn cụ ạ
 

quanghungle

Xe điện
Biển số
OF-312980
Ngày cấp bằng
23/3/14
Số km
2,547
Động cơ
314,350 Mã lực
Tuổi
48
Nơi ở
Hà Nội
Em đang vui nhưng cá tính lại thích nghe chuyện buồn
 

bibiabc

Xe buýt
Biển số
OF-86295
Ngày cấp bằng
23/2/11
Số km
865
Động cơ
417,711 Mã lực
Em spam phát. Lâu lâu mới có thớt ntn ah. :P
 

Meobop

Xe tải
Biển số
OF-196864
Ngày cấp bằng
1/6/13
Số km
373
Động cơ
329,565 Mã lực
Nơi ở
Du mục
Chào mợ, mợ có thể nói rõ hơn về bệnh u não của mợ không. Bố đẻ mình năm 2008 cũng bị u màng não, nhưng tệ nhất là nó bao vào động mạch cảnh. mọi thứ coi như bế tắc hoàn toàn bv trả về. một mắt bố mình bi lồi ra vì cái u to bằng quả trứng gà, nhưng vì kiên trì và quyết tâm lang thang, lê la nhờ vả cac bệnh viện. sau có 3 phương án mổ mở, 1 sing: 2 việt pháp: 3: Việt đức, sau chốt VĐ vì hai lý do, bs việt nam mổ thần kinh ngang ngửa sing. troang trường hợp xấu nhất đứt động mạnh cảnh tì e kíp cấp kiu cảu viẹt đức đủ sức cầm máu: đi sinh thì cũng không hơn về tay nghề. còn việt pháp cũng nhận mổ nưng bên đó không có e kíp cấp kíu trong trường hợp đứt động mạch. Chốt mổ Việt Đức. sau đó hơn một năm mổ lần thứ 2 bằng giao GAMMA tại trung tâm ung bướu và trị xạ BV bạch mai lần này không mổ mở (bon tự tìm hiểu về gamma) lần một- lần thứ ba cũng vẫn mổ giao Gamma tại đó. và giờ 5 năm rồi bố mình không đi khám lại nữa mặc dù họ vẫn khuyến cáo nên đi khám định kỳ lại, nhưng giờ bố mình ngại đi lại nên ko đi
 

Sứa.

Xe container
Biển số
OF-792935
Ngày cấp bằng
10/10/21
Số km
9,654
Động cơ
22,293 Mã lực
Tuổi
31
Em oánh dấu để nc ;;)
 
Thông tin thớt
Đang tải

Bài viết mới

Top