Một trường hợp tử vong do vỡ dạ dày sau cơn cuồng ăn
Tháng Chín 13, 2011 bởi
Bác sĩ Lê Hùng
Một bệnh nhân nữ, 20 tuổi, nhập viện vì đau và chướng bụng.
BN là một sinh viên đại học, trọ học ở Sài gòn tại nhà một người bà con. Khoảng một tuần trước khi nhập viện, do người bà con phải sửa sang lại nhà, bệnh nhân dọn đến ở chung với một người bạn gái trong phòng trọ của cô ta.
Khai thác bệnh sử, bệnh nhân không cung cấp thông tin gì quan trọng. Nhưng cô bạn gái của bệnh nhân kể lại, trong một tuần ở chung, người bạn này nhận thấy bệnh nhân nhịn ăn buổi sáng và trưa tuy nhiên buổi tối thì ăn gấp nhiều lần một người bình thường có thể ăn !
Khi nhập viện, bệnh nhân tỉnh, hơi vật vã, đau bụng dữ dội. Huyết áp của bệnh nhân tăng nhẹ (130/80 mmHg) và mạch rất nhanh (128 lần/phút) chứng tỏ bệnh nhân đã vào sốc. Bụng BN chướng căng, ấn đau và có phản ứng phúc mạc. Hai chân bệnh nhân nổi bông tím.
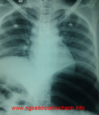
X-quang bụng cho thấy dạ dày của bệnh nhân dãn rất to, chiếm gần toàn bộ khoang bụng. Thông dạ dày được đặt, hy vọng giải áp dạ dày nhưng tình hình không cải thiện.
Bóng hơi dạ dày rất to đẩy cơ hoành trái lên trên
Dạ dày chứa đầy thức ăn chiếm gần hết khoang bụng
Bệnh nhân được chỉ định mổ khẩn vì nghi ngờ thủng hay hoại tử tạng rỗng. Công tác hồi sức được thực hiện song song với công tác phẫu thuật.
Sau khi gây mê, bệnh nhân được đặt thông tiểu nhưng thông tiểu không thể vào được bàng quang. Khi rạch qua khỏi lớp cân thành bụng, phúc mạc phòi ra nhanh và vỡ bung làm sững sờ cả ê-kíp phẫu thuật. Khi vào khoang bụng thì ê-kíp phẫu thuật nhận thấy dạ dày của bệnh nhân đã vỡ. Thức ăn văng khắp cả mặt phẫu thuật viên.
Khi vào bụng, dạ dày còn chứa khoảng 4 kg thức ăn. Đó là chưa tính đến lượng thức ăn văng vào khoang bụng và lượng hơi trong dạ dày. Ước tính thể tích dạ dày trước khi nổ vào khoảng 6-7 lít ! Thức ăn trong dạ dày sủi hơi liên tục và có mùi thối. Thức ăn chưa tiêu hóa còn hiện diện đầy trong ruột non, xuống đến tận đại tràng phải. Ruột non và đại tràng phải như “một khúc dồi” nhét đầy thức ăn. Toàn bộ ruột non bị căng cứng, đe dọa tiếp tục vỡ. Phẫu thuật viên bắt buộc phải mở ruột non tháo thức ăn (và hơi) để cho ruột xẹp bớt.
Ruột non nhét đầy thức ăn, giống như “khúc dồi”
Dạ dày đã vỡ, chứa đầy thức ăn
Sau khi mở bụng và dạ dày đã “nổ”, chân bệnh nhân trở lại màu sắc bình thường. Chính áp lực do dạ dày căng quá mức đã chèn ép động mạch chủ bụng (làm cho nửa phần dưới cơ thể bị thiếu máu cấp tính), xé rách mạc treo đại tràng góc lách và làm cho thông tiểu không thể đặt được vào bàng quang.
Dạ dày sau khi nổ có thành mỏng như tờ giấy, thành dạ dày bị nhồi máu tím bầm. Máu chảy liên tục từ khắp thành dạ dày.
Thành dạ dày mỏng như “tờ giấy“
Phẫu thuật viên bắt buộc phải cắt bỏ toàn bộ dạ dày. Sau khi dạ dày được cắt bỏ, hỗng tràng được đưa lên nối với thực quản. Khi mở thành ruột ra để nối, phẫu thuật viên nhận thấy niêm mạc ruột đã bị hư hại (màu tím xám) mặc dù thành ruột vẫn còn hồng hào. Đây là dấu hiệu nhiễm khuẩn niêm mạc ruột, một dấu hiệu cho thấy dự hậu của bệnh nhân rất nghèo nàn.
Dạ dày sau khi được cắt bỏ. Chỗ vỡ toác ở mặt trước phần trên thân dạ dày

Niêm mạc dạ dày nhồi máu, xuất huyết. Còn một chỗ vỡ thứ nhì (vỡ không hoàn toàn) ở bờ cong nhỏ (mủi tên)
Đúng như dự đoán, mặc dù đã được hồi sức tích cực và cho kháng sinh mạnh nhất có thể, sau mổ bệnh nhân không thoát ra được tình trạng sốc nhiễm trùng huyết, với đông máu nội mạch lan tỏa, chảy máu từ tất cả các ống dẫn lưu, số lượng bạch cầu và tiểu cầu giảm dần. Bệnh nhân đã tử vong sau khi mổ khoảng 16 giờ.
Kết quả giải phẫu bệnh : Dạ dày xuất huyết, hoại tử, viêm cấp do nhiễm trùng, phù hợp nhiễm trùng huyết.